
While ADHD is a neurobiological condition, it is influenced by age-dependent behaviours and demands of the environment, the researchers noted.

Childhood obesity correlates with attention-deficit or hyperactivity disorder, learning disorders, and poor academic performance. A new study recommends eating more of natural, unprocessed, raw foods instead of chips, sodas and fast foods in order to...

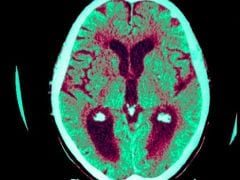
Children with such birth defects are likely to face problems at school or other academicals for which the reason was yet unknown. A new study has revealed that CHDs are the reason for improper brain ...

In an age of technological advancements, the reading habit has taken a backseat among many children of school-going age leading often to poor academic performance. This can lead to a host of problems in adulthood ...

Obese adolescent girls have lower academic attainment levels throughout their teenage years, according to a new study. The results of the research conducted by the Universitiesof Dundee, Strathclyde, Georgia and Bristol showed that girls who ...

Eating fast food may lead to lower student test scores in math, science and reading, a recent study of U.S. school children said.

Figures suggesting condition could become an epidemic are out of date, with numbers of patients stabilising across western Europe, say experts.

A new study states that adolescents who experience sleep problems and longer sleep duration are more reactive to stress, which could contribute to academic, behavioural and health issues.

Pre-term babies who were fed more breast milk within the first 28 days of life showed better levels of intelligence, academic achievement, working memory as well as higher brain function by the age of seven, ...

A healthy diet may develop better reading skills in the first three school years, shows a recent study from Finland. The study involved 161 children aged 6-8 years old and the quality of their diet ...